矯正歯科
お口の正しい機能を取り戻しましょう
歯並びが気になりませんか?

当院では小児矯正、成人矯正の両方に対応し、様々な治療法をご提案しています。
矯正治療のゴールは歯並びを整え、見た目を美しくするだけではありません。歯並びが悪いと、むし歯や歯周病になりやすくなるだけでなく、首や手足、腰など全身のバランスにまで影響を及ぼすことがあります。顎全体のバランスを整え、お口の正しい機能を取り戻すことが、身体の健康にとって重要です。
※矯正歯科治療は公的健康保険適応外の自費(自由)診療です。
無料矯正相談実施中
当院では矯正相談は無料で行っています。現在のお口の状態をチェックし、矯正治療の概略をご説明しますので、お気軽にご相談ください。
- お問い合わせ先
- 0463-81-6480
矯正歯科を専門に行う歯科医師のご紹介
矯正歯科医師 小野明子
矯正治療、期間をかけてじっくりと取り組むものです。
そのため、決断をするにも勇気がいると思います。 まずはお気軽にご相談ください。 一緒に解決策を考えていくことができたらと思います。 お悩みをお話いただくだけでも、気持ちが落ち着くことがあります。
皆様とお会いできることを楽しみにしています。
<経歴>
日本大学卒業
日本大学歯学部矯正科勤務
さくら歯科クリニック勤務(2009年3月~)
日本矯正歯科学会 認定医
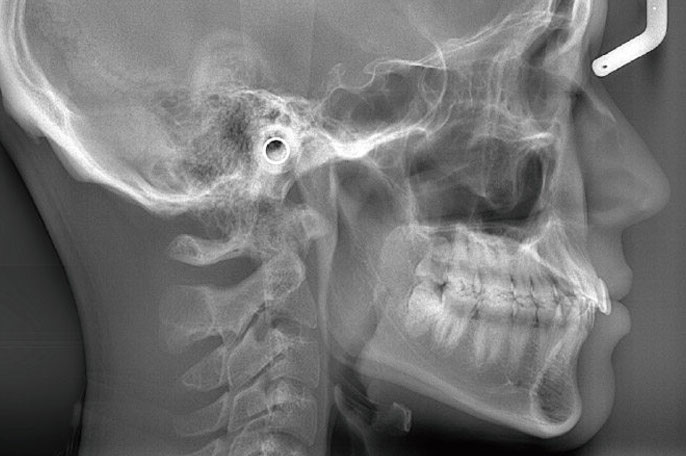
顔全体のバランスを考えた矯正

横顔や正面からお顔の骨格をレントゲン撮影し、顎の形や大きさ、ズレなどを頭部全体を通して調べ、バランスのよい矯正計画を立ててまいります。
<精密検査>
診療区分:自由診療
お口やお顔の写真、レントゲン、歯型の模型をとります。
費用:全顎33,000円(税込)、部分矯正22,000円(税込)
小児矯正
見た目の改善だけでなく、健やかな成長につながります

小児矯正は、成長に合わせて顎を広げ、歯が生えてくるスペースを作る治療です。永久歯が生えそろった後でも、新陳代謝が活発なため歯の動きが早く、短い治療期間で済むケースも多く見られます。また、成長に合わせて顎骨を無理なく広げ、歯を並べるスペースを確保することができるため、成人矯正と比べ、歯を抜かずに治療を行える可能性が高まります。
成長に合わせた二段階の治療
お子様の矯正治療は症例により、第1期(早期)治療と第2期(仕上げ)治療の2段階で行います。

第1期(早期)治療 「歯を移動するためのスペースを作る」
床矯正装置
第1期は現在の歯並びが、顎の発育や噛み合わせに影響を及ぼす場合に行います。顎や骨格など基礎の部分を正常な発育へ近づける「軌道修正」のための治療です。床矯正などで顎の成長をコントロールし、永久歯が自然と生えてくるようスペースを確保します。第1期だけで歯並びが整った場合は、第2期を必要としないケースもあります。
<小児矯正 第1期>
診療区分:自由診療
期間(通院頻度):
・動的治療 2年~2年半程度(1ヵ月に1回、概ね24回~30回)
・保定期間 2年程度(3ヶ月に1回、概ね8回)
矯正料:374,000円(税込)
調整料:5,500円(税込)
※一括~18回分割可
第2期(仕上げの矯正)治療 「1本1本を精密に動かす」
ワイヤーとブラケット
第2期は第1期で残された問題点を歯の移動で解決し、完璧な咬み合わせを作る治療です。ワイヤーを使用することで細かい調整ができますので、歯をきれいに並べることができます。取り外しの装置だけの治療とはまるで違う、レベルの高い仕上がりとなります。
<小児矯正 第2期>
診療区分:自由診療
期間(通院頻度):
・動的治療 2年~3年程度(1ヵ月に1回、概ね24回~36回)
・保定期間 2年程度(3ヶ月に1回、概ね8回)
矯正料:792,000円(税込)
調整料:5,500円(税込)
※第1期治療から第2期治療に移行した場合は、成人矯正料金と第1期治療料金の差額が追加費用となります。
※一括~18回分割可
治療期間の目安
(例)8歳からスタートして、治療2年+保定2年の計4年程度で終わるケース

(例)8歳からスタートして、治療2年+保定2年の計4年程度で終わらずに、再スタートするケース

保定期間
矯正治療が完了した後の2年間のこと。この期間は歯列が元に戻ってしまうことを防止するためのリテーナー(固定装置)を2年間に渡り付けていただく必要があり、その期間は3ヶ月に1回程度の通院を推奨しています。
経過観察期間
保定期間終了後の期間のこと。歯列が元に戻ってしまうことを避けるために、親知らずを抜くまで(20歳頃まで)は6か月に1回程度の通院を推奨しています。
成人矯正
(向かって左:金属のブラケット、右:目立ちにくいホワイトブラケット)
成人矯正では、固定式、取り外し式の装置を使用し、歯並びや咬み合わせを整えます。出っ歯や受け口、八重歯など、見た目を気にされて相談にいらっしゃるケースが多いですが、成人矯正においても口腔機能の改善が何よりも大切です。
噛み合わせを整えることで、頭痛や肩こり、腰痛など、身体の不調改善も期待できます。また歯磨きがしやすくなり、むし歯や歯周病の予防にもつながります。
現在は目立ちにくい矯正器具もございますので、歯並びが気になる方は、お気軽にご相談ください。
目立ちにくい矯正治療法
セルフライゲーションブラケット装置(クリッピー)矯正
歯の表側にブラケットという矯正装置を付ける最も一般的な治療方法で、歯並びと咬み合わせを治すことができます。当院では白いブラケットと目立ちにくいワイヤーを組み合わせた矯正装置を使用しています。
ブラケットとワイヤーを用いた治療は0.1㎜単位で歯の位置を決められるため、細かい部分まで丁寧に矯正できる点が特徴です。

<成人矯正>
診療区分:自由診療
期間(通院頻度):
・動的治療 2年~3年程度(1ヵ月に1回、概ね24回~36回)
・保定期間 2年程度(3ヶ月に1回、概ね8回)
矯正料:
セラミック 792,000円(税込)
裏側固定装置 片側 33,000円(税込)、両方(上下) 66,000円(税込)
調整料:5,500円(税込)
※一括~18回分割可
治療期間の目安

保定期間
矯正治療が完了した後の2年間のこと。この期間は歯列が元に戻ってしまうことを防止するためのリテーナー(固定装置)を2年間に渡り付けていただく必要があり、その期間は3か月に1回程度の通院を推奨しています。
経過観察期間
保定期間終了後の期間のこと。歯列が元に戻ってしまうことを避けるために、6か月~1年に1回程度の通院を推奨しています。
様々な矯正治療
マウスピース型矯正
ブラケットやワイヤーは使わず、透明なマウスピースを付け替えしながら少しずつ歯を動かしていく治療方法です。透明なため目立ちにくく、発音のしづらさや不快感も少ないというメリットがあります。取り外しができるので衛生的です。ブラケット矯正に比べ治療にかかる期間は長くなります。
<マウスピース型矯正>
診療区分:自由診療
費用:825,000円~(税込)

部分矯正
部分矯正とは歯並びが悪い一部分の歯に矯正装置を付け、かみ合わせや歯並びを改善する治療法です。全体的に行う矯正治療と比較して、部分矯正は違和感や治療期間、費用などを低く抑えることができます。※前歯の凸凹や隙間のみ対応しています。
<部分矯正>
診療区分:自由診療
期間(通院頻度):
・動的治療 半年~1年程度(1ヵ月に1回、概ね6回~12回)
・保定期間 2年程度(3ヶ月に1回、概ね8回)
費用:165,000円~(税込)
調整料:5,500円(税込)

歯科矯正用アンカースクリュー
矯正具を固定するために、アンカースクリュー(微小なチタン製のネジ)を顎の骨に埋入する矯正手術を行います。
動かしたい歯のみに力を加えることができるので、倒れてしまった歯を起こしたり、ガミースマイル(笑った際に歯ぐきが目立って見えること)の改善など、通常の矯正では困難な症例にも活用することができます。
<歯科矯正用アンカースクリュー>
診療区分:自由診療
費用:アンカースクリュー1本 22,000円(税込)
※症例によって必要な本数が変わります。

注意事項
- 矯正(動的)治療終了後、保定装置の協力性が得られず再治療になった際は、別途費用がかかります。
- 装置の種類により、費用が一部変更されることがあります。また、精密検査時、資料(X線写真など)が追加されることがあります
- 矯正の装置を破損させてしまったり、紛失してしまった場合は別途費用がかかります。
矯正歯科治療に伴う一般的なリスクや副作用について
- 最初は矯正装置による不快感、痛み等があります。数日間~1、2週間で慣れることが多いです。
- 歯の動き方には個人差があります。そのため、予想された治療期間が延長する可能性があります。
- 装置の使用状況、顎間ゴムの使用状況、定期的な通院等、矯正治療には患者さんの協力が非常に重要であり、それらが治療結果や治療期間に影響します。
- 治療中は、装置が付いているため歯が磨きにくくなります。むし歯や歯周病のリスクが高まりますので、丁寧に磨いたり、定期的なメンテナンスを受けたりすることが重要です。また、歯が動くと隠れていたむし歯が見えるようになることもあります。
- 歯を動かすことにより歯根が吸収して短くなることがあります。また、歯ぐきがやせて下がることがあります。
- ごくまれに歯が骨と癒着していて歯が動かないことがあります。
- ごくまれに歯を動かすことで神経が障害を受けて壊死することがあります。
- 治療途中に金属等のアレルギー症状が出ることがあります。
- 治療中に「顎関節で音が鳴る、あごが痛い、口が開けにくい」などの顎関節症状が出ることがあります。
- 様々な問題により、当初予定した治療計画を変更する可能性があります。
- 歯の形を修正したり、咬み合わせの微調整を行ったりする可能性があります。
- 矯正装置を誤飲する可能性があります。
- 装置を外す時に、エナメル質に微小な亀裂が入る可能性や、かぶせ物(補綴物)の一部が破損する可能性があります。
- 装置が外れた後、保定装置を指示通り使用しないと後戻りが生じる可能性が高くなります。
- 装置が外れた後、現在の咬み合わせに合った状態のかぶせ物(補綴物)やむし歯の治療(修復物)などをやりなおす可能性があります。
- あごの成長発育によりかみ合わせや歯並びが変化する可能性があります。
- 治療後に親知らずが生えて、凸凹が生じる可能性があります。加齢や歯周病等により歯を支えている骨がやせるとかみ合わせや歯並びが変化することがあります。その場合、再治療等が必要になることがあります。
- 矯正歯科治療は、一度始めると元の状態に戻すことは難しくなります。